Possible combined effect of perindopril and Azilsartan in an experimental model of dementia in rats
- PMID: 32435138
- PMCID: PMC7229327
- DOI: 10.1016/j.jsps.2020.03.009
Possible combined effect of perindopril and Azilsartan in an experimental model of dementia in rats (V体育安卓版)
Abstract (VSports注册入口)
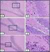
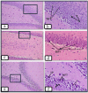
Renin-angiotensin system exerted deleterious effects on learning and cognitive functions through different mechanisms. The present study has been designed to evaluate the protective effect of perindopril and azilsartan as monotherapy or in combination on aluminum chloride (AlCl3) induced neurobehavioral and pathological changes in Alzheimeric rats. Male Wistar rats were divided into nine groups (n = 6); negative control, AlCl3 treated, vehicle, AlCl3 and Azilsartan (3. 5 mg/kg, 7 mg/kg) co-treated, AlCl3 and perindopril (0. 5 mg/kg, 1 mg/kg) co-treated, AlCl3 and (Azilsartan 3. 5 mg/kg + perindopril 0. 5 mg/kg), and AlCl3 and (Azilsartan 7 mg/kg + perindopril 1 mg/kg), all groups were treated for consecutive 60 days. Then, memory function was evaluated by the Y- maze test VSports手机版. Amyloid Peptide - 42 (Aβ-42), Acetylcholinesterase (AChE), Malondialdehyde (MDA), Tumor necrosis factor (TNF-α) and Nitric Oxide (NO) levels in the hippocampus were assessed with (ELISA) kits. The histopathological studies of the hippocampal dentate gyrus (DG) and Cornu Ammonis-3 (CA3) were also performed. Oral administration of either azilsartan and perindopril alone or in combined for 60 days have shown; improvement of cognitive function, significant reduction in the hippocampal levels of Aβ-42, Acetylcholinesterase, Malondialdehyde (MDA), Tumor necrosis factor (TNF-α) and reserved most of histopathological changes in dentate gyrus (DG) and Cornu Ammonis-3 (CA3) that mediated by Alcl3. Our behavioral, biochemical, and histopathological studies indicate that perindopril and azilsartan have neuroprotective effects on the AD model of rats induced by AlCl3, suggesting that perindopril and azilsartan may be a candidate drugs for the treatment of AD. .
Keywords: Azilsartan; Dementia; Memory; Perindopril; Renin-angiotensin system. V体育安卓版.
© 2020 The Author(s).
Conflict of interest statement
The authors declare that they have no known competing financial interests or personal relationships that could have appeared to influence the work reported in this paper.
"V体育安卓版" Figures








References
-
- Abbassi Y.A., Mohammadi M.T., Foroshani M.S., Sarshoori J.R. Captopril and valsartan may improve cognitive function through potentiation of the brain antioxidant defense system and attenuation of oxidative/nitrosative damage in STZ-induced dementia in rat. Adv. Pharmaceut. Bull. 2016;6:531–539. - PMC (V体育官网) - PubMed
-
- Ali M.R.A.A., Abo-Youssef A.M.H., Messiha B.A.S., Khattab M.M. Tempol and perindopril protect against lipopolysaccharide-induced cognition impairment and amyloidogenesis by modulating brain-derived neurotropic factor, neuroinflammation and oxido-nitrosative stress. Naunyn-Schmiedeberg’s Arch. Pharmacol. 2016;389:637–656. - "V体育平台登录" PubMed
LinkOut - more resources
Full Text Sources (VSports最新版本)
Miscellaneous