VSports手机版 - CX3CR1 regulates intestinal macrophage homeostasis, bacterial translocation, and colitogenic Th17 responses in mice
- PMID: 22045567
- PMCID: PMC3226003
- DOI: 10.1172/JCI59150
CX3CR1 regulates intestinal macrophage homeostasis, bacterial translocation, and colitogenic Th17 responses in mice
Abstract (V体育平台登录)
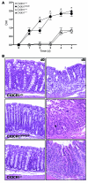
The two most common forms of inflammatory bowel disease (IBD), Crohn's disease and ulcerative colitis, affect approximately 1 million people in the United States. Uncontrolled APC reactivity toward commensal bacteria is implicated in the pathogenesis of the disease. A number of functionally distinct APC populations exist in the mucosal lamina propria (LP) below the intestinal epithelium, but their relative contributions to inflammation remain unclear. Here, we demonstrate in mice important roles for the chemokine receptor CX3CR1 in maintaining LP macrophage populations, preventing translocation of commensal bacteria to mesenteric lymph nodes (mLNs), and limiting colitogenic Th17 responses. CX3CR1 was found to be expressed in resident LP macrophages (defined as CD11b(+)F4/80(+)) but not DCs (defined as CD11c(+)CD103(+)). LP macrophage frequency and number were decreased in two strains of CX3CR1-knockout mice and in mice deficient in the CX3CR1 ligand CX3CL1. All these knockout strains displayed markedly increased translocation of commensal bacteria to mLNs. Additionally, the severity of DSS-induced colitis was dramatically enhanced in the knockout mice as compared with controls. Disease severity could be limited by either administration of neutralizing IL-17A antibodies or transfer of CX3CR1-sufficient macrophages VSports手机版. Our data thus suggest key roles for the CX3CR1/CX3CL1 axis in the intestinal mucosa; further clarification of CX3CR1 function will likely direct efforts toward therapeutic intervention for mucosal inflammatory disorders such as IBD. .
Figures






References
-
- Macdonald TT, Monteleone I, Fantini MC, Monteleone G. Regulation of homeostasis and inflammation in the intestine. Gastroenterology. 2011;140(6):1768–1775. doi: 10.1053/j.gastro.2011.02.047. - "V体育官网" DOI - PubMed
"V体育平台登录" Publication types
MeSH terms
- Actions (V体育平台登录)
- VSports注册入口 - Actions
- Actions (VSports app下载)
- Actions (VSports最新版本)
- V体育ios版 - Actions
- "V体育ios版" Actions
- "V体育2025版" Actions
- VSports - Actions
- VSports注册入口 - Actions
- V体育安卓版 - Actions
- "V体育平台登录" Actions
- "V体育官网" Actions
- "V体育官网" Actions
- VSports注册入口 - Actions
- Actions (V体育官网入口)
- Actions (VSports)
- "VSports在线直播" Actions
Substances
- Actions (V体育官网入口)
- VSports注册入口 - Actions
- V体育2025版 - Actions
- V体育安卓版 - Actions
Grants and funding
- T32 GM008169/GM/NIGMS NIH HHS/United States
- R01 DK064730/DK/NIDDK NIH HHS/United States
- P01 DK072201/DK/NIDDK NIH HHS/United States (VSports最新版本)
- R43 DK072654/DK/NIDDK NIH HHS/United States
- "V体育官网入口" R21 AI083554/AI/NIAID NIH HHS/United States
- AI083554/AI/NIAID NIH HHS/United States
- DK72654/DK/NIDDK NIH HHS/United States
- R01 DK079392/DK/NIDDK NIH HHS/United States
- R44 DK072654/DK/NIDDK NIH HHS/United States
- R29 DK055679/DK/NIDDK NIH HHS/United States
- "V体育官网入口" DK055679/DK/NIDDK NIH HHS/United States
- DK79392/DK/NIDDK NIH HHS/United States
- "VSports手机版" R01 DK055679/DK/NIDDK NIH HHS/United States
- DK064730/DK/NIDDK NIH HHS/United States (V体育官网入口)
- "V体育安卓版" AA01787001/AA/NIAAA NIH HHS/United States
LinkOut - more resources
Full Text Sources
Other Literature Sources
Molecular Biology Databases
Research Materials
Miscellaneous