Skip to main page content
U.S. flag

An official website of the United States government

Dot gov

The . gov means it’s official. Federal government websites often end in . gov or . mil VSports app下载. Before sharing sensitive information, make sure you’re on a federal government site. .

Https

The site is secure. The https:// ensures that you are connecting to the official website and that any information you provide is encrypted and transmitted securely. V体育官网.

. 1997 Dec;41(6):793-800.
doi: 10.1136/gut.41.6.793.

Cytokine mRNA expression in intestinal tissue of interleukin-2 deficient mice with bowel inflammation

Affiliations

Cytokine mRNA expression in intestinal tissue of interleukin-2 deficient mice with bowel inflammation

I B Autenrieth et al. Gut. 1997 Dec.

V体育官网入口 - Abstract

Background: Mice deficient in interleukin-2 (IL-2) develop inflammatory bowel disease resembling ulcerative colitis in humans. Recent studies provided evidence that alpha beta T cells, particularly CD4 T cells, rather than B cells, are involved in the pathogenesis of bowel inflammation of IL-2 deficient mice. VSports手机版.

Aim: To analyse the pattern of expression of cytokine mRNA in intestinal tissue of normal and IL-2 deficient mice. V体育安卓版.

Methods: Expression of beta-actin, IL-1 alpha, IL-1 beta, IL-6, IL-10, tumour necrosis factor alpha (TNF-alpha), interferon gamma (IFN-gamma) and transforming growth factor beta 1 (TGF-beta 1) mRNA was analysed in colon and small intestinal tissue of both IL-2 deficient (IL-2-/-) mice and normal (wild type) litter mates (IL-2+/+) at different ages by using qualitative, as well as semiquantitative, competitive reverse transcription polymerase chain reaction (RT-PCR) V体育ios版. Results were correlated with the phase of progression of the disease, as determined by histology. .

Results: IL-2-/- mice had expressed low levels of IL-1 alpha, IL-1 beta, IL-6, TNF-alpha, and IFN-gamma mRNA in the colon by 1. 5 weeks of age. In advance of the development of histologically and clinically detectable bowel inflammation, expression of IL-1 alpha, IL-1 beta, IL-6, TNF-alpha, IFN-gamma, and IL-10, but not TGF-beta 1, mRNA increased in the colon of IL-2 deficient mice. In contrast, IL-2+/+ mice expressed TGF-beta 1 mRNA in colon tissue at 13 and 23 weeks of age, but not IL-1 alpha, IL-1 beta, IL-6, TNF-alpha, IL-10, or IFN-gamma mRNA VSports最新版本. Levels of expression of cytokine mRNA in tissue from the small intestine were comparable in IL-2-/- and IL-2+/+ mice. .

Conclusions: Bowel inflammation in IL-2 deficient mice is preceded by an increase in IL-1 alpha, IL-1 beta, TNF-alpha, and IFN-gamma mRNA expression in colon tissue. Low levels of TGF-beta 1, but high levels of IL-1 alpha, IL-1 beta, IL-6, TNF-alpha, IFN-gamma, and IL-10 mRNA expression correlate with the manifestation of severe colitis, and suggest that T cells and macrophages are involved in bowel inflammation of IL-2 deficient mice V体育平台登录. .

PubMed Disclaimer

"VSports" Figures

Figure 1
Figure 1
: Colon of IL-2-/- mice at (A) 8 weeks (early phase with few alterations, mild colitis), (B-D) 13 weeks of age (later phase with severe colitis). (A) Infiltration of the lamina propria with lymphocytes, plasma cells and granulocytes. A few transmigrating polymorphonuclear leucocytes are present (black arrow). The number of mitotic epithelial cells is increased (white arrows). (B) Severe inflammation of the colon (overview). (C) Crypt abscesses and an increased number of mitotic epithelial cells (arrows). (D) Transverse section, infiltration of the lamina propria, crypt abscesses (haematoxylin and eosin).
Figure 1
Figure 1
: Colon of IL-2-/- mice at (A) 8 weeks (early phase with few alterations, mild colitis), (B-D) 13 weeks of age (later phase with severe colitis). (A) Infiltration of the lamina propria with lymphocytes, plasma cells and granulocytes. A few transmigrating polymorphonuclear leucocytes are present (black arrow). The number of mitotic epithelial cells is increased (white arrows). (B) Severe inflammation of the colon (overview). (C) Crypt abscesses and an increased number of mitotic epithelial cells (arrows). (D) Transverse section, infiltration of the lamina propria, crypt abscesses (haematoxylin and eosin).
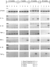
Figure 2
Figure 2
: PCR assisted amplification of β-actin, IL-1α, IL-1β, TNF-α, IFN-γ, IL-10, and TGF-β mRNA extracted from intestinal and colonic tissue of IL-2+/'+ and IL-2/ mice at 1.5, 7, 13, and 23 weeks of age. Amplification cycles: β-actin, 21 cycles; IL-1α, IL-1β, TNF-α, and IFN-γ, 30 cycles; IL-10 and TGF-β1, 35 cycles. M, molecular weight markers. The data shown are the results from one knockout and from one wild type mouse and are representative of five mice from each group.
Figure 3
Figure 3
: Semiquantitative competitive PCR assisted amplification of β-actin, IFN-γ and TNF-α mRNA extracted from colonic tissue of IL-2/ and IL-2+/+ mice at 13 weeks of age. Constant amounts of target cDNA were amplified in the presence of serially diluted competitor control DNA (1, undiluted cDNA: β-actin, pMCQ 3 ng, 28 cycles; TNF-α, pMCQ 3 pg 35 cycles; IFN-γ, pG2PCR106g4 0.125 pg 35 cycles). The dilution at which equally dense bands for control and target DNA were obtained was used for determination of cytokine mRNA expression levels. C.F. = control fragment (competitor control DNA). Arrows indicate the dilution step at which equally dense bands were obtained. The data shown are the results from one knockout and from one wild type mouse and are representative of five mice from each group.
Figure 4
Figure 4
: Semiquantitative determination of IFN-γ and TNF-α mRNA expression in the colon of IL-2/ and IL-2+/+ mice at 1.5, 7 and 13 weeks of age was performed as described in the legend to fig 3. The values represent the means of five mice per time point for each group. *p<0.05 between IL-2 / and IL-2+/+ mice. The ratio of IFN-γ or TNF-α to β-actin was calculated as follows: [concentration of IFN-γ control fragment×dilution factor of target DNA (IFN-γ or TNF-α)]÷[concentration of β-actin control fragment×dilution factor of target DNA β-actin]

References

    1. Gastroenterology. 1992 May;102(5):1620-7 - PubMed
    1. J Immunol. 1997 Jan 15;158(2):566-73 - PubMed
    1. J Immunol. 1992 Nov 1;149(9):3016-22 - PubMed
    1. Curr Opin Immunol. 1992 Jun;4(3):271-6 - PubMed
    1. Cytokine. 1992 Sep;4(5):340-6 - PubMed

"V体育ios版" Publication types

MeSH terms

LinkOut - more resources