Skip to main page content
U.S. flag

An official website of the United States government

Dot gov

The . gov means it’s official. Federal government websites often end in . gov or . mil. Before sharing sensitive information, make sure you’re on a federal government site VSports app下载. .

Https

The site is secure V体育官网. The https:// ensures that you are connecting to the official website and that any information you provide is encrypted and transmitted securely. .

. 2022 Jul 27;17(1):39.
doi: 10.1186/s13027-022-00452-0.

Epstein-Barr virus and Burkitt's lymphoma. Associations in Iraqi Kurdistan and twenty-two countries assessed in the International Incidence of Childhood Cancer

Affiliations

Epstein-Barr virus and Burkitt's lymphoma. Associations in Iraqi Kurdistan and twenty-two countries assessed in the International Incidence of Childhood Cancer

Dana N Muhealdeen (V体育安卓版) et al. Infect Agent Cancer. .

Abstract

Background: Burkitt's lymphoma (BL) has worldwide variations in incidence that are related to the age of Epstein-Barr virus (EBV) infection. This study examined the age-specific incidence rate (ASIR) of BL and community EBV seropositivity in Iraqi Kurdistan and compared results with data from countries tabulated in the International Incidence of Childhood Cancer volume 3 (IICC-3). VSports手机版.

Methods: The ASIR (95% confidence intervals) of BL in Sulaimani Governorate of Iraqi Kurdistan were calculated for the years 2010-2020. Specimens from 515 outpatients were tested for IgG and IgM antibodies to EBV viral capsid antigen. V体育安卓版.

Results: In Sulaimani, 84% of BL occurred under 20 years of age, with an ASIR of 6. 2 (4. 7-7. 7) per million children. This ASIR was not significantly different than that of Egypt, Morocco, Israel, Spain, or France. It was slightly higher than the ASIR of the United States, the United Kingdom, and Germany and markedly higher than for Asia and South Africa V体育ios版. In Africa and much of Asia, early childhood EBV exposure predominates, with nearly all children being infected by 5 years of age. In Sulaimani, just over 50% of children were EBV seropositive at 3 years old and 90% seropositivity was reached at 15 years of age. In Europe and North America, seropositivity is commonly delayed until adolescence or young adulthood and adult predominates over childhood BL. .

Conclusion: In the Middle East, childhood BL is relatively common and adult BL is rare. In Sulaimani, EBV seropositivity increases progressively throughout childhood and reaches 92% at mid-adolescence. This may reflect the Mid East more widely. We suggest that the high childhood and low adult BL rates may be a regional effect of a pattern of EBV exposure intermediate between early childhood and adolescent and young adult infections VSports最新版本. .

Keywords: Burkitt's lymphoma; EBV seropositivity; Epstein-Barr virus; Middle East; Pediatric lymphoma. V体育平台登录.

PubMed Disclaimer

Conflict of interest statement

The authors declare no conflict of interest. The manuscript has not been previously published in whole or in part VSports注册入口.

Figures

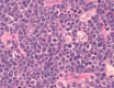
Fig. 1
Fig. 1
Hematoxylin and Eosin 400X. Burkitts lymphoma in a cervical lymph node of a two-year-old girl. The girl was serologically negative for Epstein-Barr virus infection. The tumor was positive for the MYC translocation but negative for Epstein-Barr virus encoded small nuclear mRNA

References

    1. Wright DH. What is Burkitt's lymphoma and when is it endemic. Blood. 1999;93:758. doi: 10.1182/blood.V93.2.758. - DOI - PubMed
    1. Brady G, MacArthur GJ, Farrell PJ. Epstein-Barr virus and Burkitt lymphoma. J Clin Pathol. 2007;60:1397–1402. - PMC - PubMed
    1. Shannon-Lowe C, Rickinson AB, Bell AI. Epstein-Barr virus associated lymphomas. Philos Trans R Soc Lond B Biol Sci. 2017;372:20160271. doi: 10.1098/rstb.2016.0271. - DOI - PMC - PubMed
    1. Mbulaiteye SM, Anderson WF, Bahtia K, Rosenberg PS, Linet MS, Devesa SS. Trimodal age-specific incidence patterns for Burkitt lymphoma in the United States, 1973–2005. Int J Cancer. 2010;126:1732–1739. - PMC - PubMed
    1. Linch DC. Burkitt lymphoma in adults. Br J Haematol. 2012;156:693–703. doi: 10.1111/j.1365-2141.2011.08877.x. - DOI - PubMed