Role of BMI1 in epithelial ovarian cancer: investigated via the CRISPR/Cas9 system and RNA sequencing (VSports最新版本)
- PMID: 29685168
- PMCID: PMC5911954
- DOI: VSports最新版本 - 10.1186/s13048-018-0406-z
"VSports注册入口" Role of BMI1 in epithelial ovarian cancer: investigated via the CRISPR/Cas9 system and RNA sequencing
Abstract
Background: B-cell-specific Moloney murine leukemia virus integration site 1 (BMI1) might be an appropriate biomarker in the management of epithelial ovarian cancer (EOC). However, the biological role of BMI1 and its relevant molecular mechanism needs further elaboration VSports手机版. Clustered regularly interspaced short palindromic repeats (CRISPR)/Cas9 system is an excellent genome-editing tool and is scarcely used in EOC studies. .
Methods: We first applied CRISPR/Cas9 technique to silence BMI1 in EOC cells; thereafter we accomplished various in vivo and in vitro experiments to detect biological behaviors of ovarian cancer cells, including MTT, flow cytometry, Transwell, real-time polymerase chain reaction and western blotting assays, etc V体育安卓版. ; eventually, we used RNA sequencing to reveal the underlying molecular traits driven by BMI1 in EOC. .
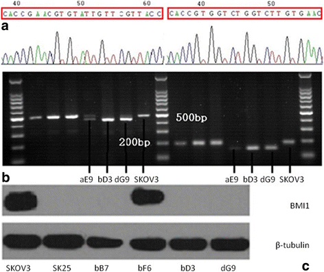
Results: We successfully shut off the expression of BMI1 in EOC cells using CRISPR/Cas9 system, providing an ideal cellular model for investigations of target gene. Silencing BMI1 could reduce cell growth and metastasis, promote cell apoptosis, and enhance the platinum sensitivity of EOC cells. BMI1 might alter extracellular matrix structure and angiogenesis of tumor cells through regulating Focal adhesion and PI3K/AKT pathways V体育ios版. .
Conclusion: BMI1 is a potential biomarker in EOC management, especially for tumor progression and chemo-resistance. Molecular traits, including BMI1 and core genes in Focal adhesion and PI3K/AKT pathways, might be alternatives as therapeutic targets for EOC. VSports最新版本.
Keywords: B-cell-specific Moloney murine leukemia virus integration site 1 (BMI1); Clustered regularly interspaced short palindromic repeats (CRISPR)/Cas9; Epithelial ovarian cancer (EOC); Focal adhesion pathway; PI3K/AKT pathway. V体育平台登录.
Conflict of interest statement
Ethics approval and consent to participate
All mice were housed and fed under specific pathogen-free conditions in an institution approved by the Beijing Laboratory Animal Research Center VSports注册入口. All studies were approved and supervised by Peking Union Medical College Hospital.
Competing interests
The authors declare that they have no competing interests.
Publisher’s Note
Springer Nature remains neutral with regard to jurisdictional claims in published maps and institutional affiliations.
"V体育官网" Figures



VSports手机版 - References
-
- Tanda ET, Budroni M, Cesaraccio R, Palmieri G, Palomba G, Capobianco G, et al. Epidemiology of ovarian cancer in North Sardinia, Italy, during the period 1992-2010. Eur J Gynaecol Oncol. 2015;36(1):69–72. - "VSports注册入口" PubMed
MeSH terms
- Actions (V体育2025版)
- "V体育2025版" Actions
- V体育官网 - Actions
- "VSports最新版本" Actions
- VSports最新版本 - Actions
- Actions (V体育官网)
- V体育官网入口 - Actions
"VSports手机版" Substances
- "V体育安卓版" Actions
Grants and funding
LinkOut - more resources
Full Text Sources (VSports注册入口)
Other Literature Sources
Medical