Expression of Draxin in Lung Carcinomas
- PMID: 29622850
- PMCID: "V体育官网入口" PMC5880803
- DOI: 10.1267/ahc.17035
Expression of Draxin in Lung Carcinomas
Abstract
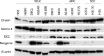
Guidance molecules, such as Netrin-1, and their receptors have important roles in controlling axon pathfinding, modulate biological activities of various cancer cells, and may be a useful target for cancer therapy. Dorsal repulsive axon guidance protein (Draxin) is a novel guidance molecule that binds not only common guidance molecule receptors with Netrin-1, but also directly binds the EGF domain of Netrin-1 through a 22-amino-acid peptide (22aa). By immunostaining, Draxin was positively expressed in small cell carcinoma, adenocarcinoma (ADC), and squamous cell carcinoma of the lung. In addition, western blot analysis revealed that Draxin was expressed in all histological types of lung cancer cell lines examined. Knockdown of Draxin in an ADC cell line H358 resulted in altered expression of molecules associated with proliferation and apoptosis. The Ki-67 labeling index of Draxin-knockdown ADC cells was increased compared to that of control ADC cells. In H358 cells, treatment of 22aa induced phosphorylation of histone H3, but did not change apoptosis-associated enzymes. These data suggest that Draxin might be involved in cell proliferation and apoptosis in lung adenocarcinoma cells VSports手机版. .
Keywords: Draxin; Netrin-1; cell proliferation; dependence receptor; lung cancer V体育安卓版. .
V体育安卓版 - Figures
 
              
              
              
              
                
                
                 
              
              
              
              
                
                
                 
              
              
              
              
                
                
                 
              
              
              
              
                
                
                 
              
              
              
              
                
                
                 
              
              
              
              
                
                
                References
- 
    - Akino T., Han X., Nakayama H., McNeish B., Zurakowski D., Mammoto A., Klagsbrun M. and Smith E. (2014) Netrin-1 promotes medulloblastoma cell invasiveness and angiogenesis, and demonstrates elevated expression in tumor tissue and urine of patients with pediatric medulloblastoma. Cancer Res. 74; 3716–3726. - VSports - PMC - PubMed
 
- 
    - Arakawa H. (2004) Netrin-1 and its receptors in tumorigenesis. Nat. Rev. Cancer 4; 978–987. - PubMed
 
- 
    - Bredseen D., Mehlen P. and Rabizadeh S. (2004) Apoptosis and dependence receptors: a molecular basis for cellular addiction. Physiol. Rev. 84; 411–430. - PubMed
 
- 
    - Broutier L., Creveaux M., Vial J., Tortereau A., Delcros J., Chazot G., Mccarron M., Léon S., Pangault C., Gadot N., Colombe A., Boulland M., Blachier J., Marie J., Traverse-glehen A., Donzé O., Chassagne-clément C., Salles G., Tarte K., Mehlen P. and Castets M. (2016) Targeting netrin-1 / DCC interaction in diffuse large B-cell and mantle cell lymphomas. EMBO Mol. Med. 8; 96–104. - PMC (VSports最新版本) - PubMed
 
VSports - LinkOut - more resources
- Full Text Sources
- Other Literature Sources (V体育安卓版)
 
        