"VSports app下载" Free fatty acids, not triglycerides, are associated with non-alcoholic liver injury progression in high fat diet induced obese rats
- PMID: 26868515
- PMCID: PMC4750181
- DOI: 10.1186/s12944-016-0194-7
VSports最新版本 - Free fatty acids, not triglycerides, are associated with non-alcoholic liver injury progression in high fat diet induced obese rats
Abstract
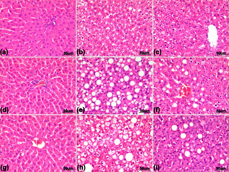
Background: The incidence of non-alcoholic fatty liver disease (NAFLD), commonly associated with obesity and metabolic syndrome, is increasing worldwide VSports手机版. However, the specific mechanisms that mediate the progression from simple steatosis to non-alcoholic steatohepatitis remain largely unclear. This study aimed to investigate the time dependent changes of triglyceride (TG) and free fatty acid (FFA) levels in the blood and liver over 24 weeks in high-fat diet-induced obese rats with NAFLD and to clarify the role of high FFA levels in the progression of liver injury. .
Methods: Male Wistar rats were randomly divided into three groups (n = 30 per group): the Control group, fed standard chow; the High-fat diet (HFD) group, fed high-fat chow; and the Acipimox group, fed an HFD plus acipimox (100 mg/kg/d, ig) for 8, 16 and 24 weeks. After treatment, blood and liver samples were collected for biochemical analyses, western blotting analysis and a histopathological study. V体育安卓版.
Results: The visceral fat/weight and liver/body weight ratios were higher in both the HFD and Acipimox groups than in the Control group. The TG and FFA concentrations in blood and liver were increased in the HFD group and associated with elevated serum alanine aminotransferase (ALT) and liver malondialdehyde (MDA) levels and macro/microvesicular steatosis on hepatic fragments. Although the TG levels in the liver were similar between the HFD and Acipimox groups (p > 0. 05), the FFA concentrations in the blood and liver were much lower in the latter group (p < 0. 05). The Acipimox group showed normal ALT and MDA levels as well as less severe hepatic histological changes than did the HFD group (NAFLD activity score: 2. 14 ± 0. 14, 2. 43 ± 0. 20 and 2. 63 ± 0 V体育ios版. 26 at 8, 16 and 24 weeks, respectively; p < 0. 05 versus the HFD group at 24 weeks). The diacylglycerol acyltransferase 2 (DGAT2) protein levels were similar between the HFD and Acipimox groups (p > 0. 05), but the protein expression level of carnitine palmitoyltransferase 1a (CPT-1a) was higher in the Acipimox group. .
Conclusions: Liver TG accumulation does not cause cellular injury in the liver; rather, FFAs or their metabolites are responsible for liver injury via increased oxidative stress VSports最新版本. It is suggested that the therapeutic efforts to prevent non-alcoholic liver injury progression should be focused on reducing the burden of fatty acids transported to the liver or those being synthesized in the liver. .
"VSports最新版本" Figures



References
MeSH terms (V体育平台登录)
- Actions (VSports手机版)
- "VSports在线直播" Actions
- V体育2025版 - Actions
- Actions (V体育平台登录)
- Actions (V体育ios版)
- V体育ios版 - Actions
- Actions (VSports手机版)
- V体育官网 - Actions
- "V体育平台登录" Actions
"VSports注册入口" Substances
LinkOut - more resources (V体育官网)
Full Text Sources
"VSports最新版本" Other Literature Sources
Medical
VSports app下载 - Miscellaneous