AntiCD3Fv fused to human interleukin-3 deletion variant redirected T cells against human acute myeloid leukemic stem cells
- PMID: 25879549
- PMCID: PMC4389834
- DOI: 10.1186/s13045-015-0109-5
V体育2025版 - AntiCD3Fv fused to human interleukin-3 deletion variant redirected T cells against human acute myeloid leukemic stem cells
Abstract
Background: Leukemic stem cells (LSCs) are frequently seen as a cause of treatment failure and relapse in patients with acute myeloid leukemia (AML) VSports手机版. Thus, successful new therapeutic strategies for the treatment of AML should aim at eradicating LSCs. The identification of targets on the cell surface of LSCs is getting more and more attention. Among these, CD123, also known as the interleukin-3 (IL3)-receptor α chain, has been identified as a potential immunotherapeutic target due to its overexpression on LSCs in AML as well as on AML blasts, rather than normal hematopoietic stem cells. .
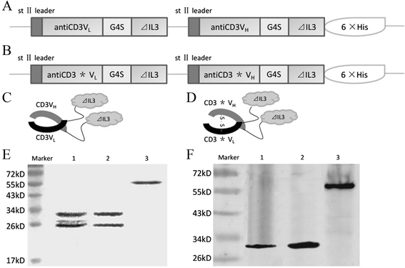
Methods: We constructed a CD123-targeted fusion protein antiCD3Fv-⊿IL3, with one binding site for T cell antigen receptor (TCRCD3) and the other for CD123, by recombinant gene-engineering technology V体育安卓版. Cysteine residues were introduced into the V domains of the antiCD3Fv segment to enhance its stability by locking the two chains of Fv together with disulfide covalent bonds. The stability and cytotoxicity of the two fusion proteins were detected in vitro and in vivo. .
Results: Both fusion proteins were produced and purified from Escherichia coli 16C9 cells with excellent yields in fully active forms. High-binding capability was observed between these two fusion proteins and human IL3R, leading to the specific lysis of CD123-expressing cell lines KG1a; also, mononuclear cells from primary AML patients were inhibited in a colony forming assay in vitro, presumably by redirecting T lymphocytes in vitro. In addition, they displayed an antileukemic activity against KG1a xenografts in non-obese diabetic/severe combined immunodeficient (NOD/SCID) mice, especially disulfide-stabilized (ds)-antiCD3Fv-⊿IL3 for its improved stability V体育ios版. .
Conclusions: These results suggest that both fusion proteins display the antileukemic activity against CD123-expressing cell lines as well as leukemic progenitors in vitro and in vivo, especially ds-antiCD3Fv-⊿IL3. They could be the promising candidates for future immunotherapy of AML VSports最新版本. .
Figures
References
-
- Döhner H, Estey EH, Amadori S, Appelbaum FR, Büchner T, Burnett AK, et al. Diagnosis and management of acute myeloid leukemia in adults: recommendations from an international expert panel, on behalf of the European LeukemiaNet. Blood. 2010;115:453–74. doi: 10.1182/blood-2009-07-235358. - DOI - PubMed
-
- List AF. Role of multidrug resistance and its pharmacological modulation in acute myeloid leukemia. Leukemia. 1996;10:937–42. - V体育官网 - PubMed
Publication types
MeSH terms
- Actions (VSports在线直播)
- V体育安卓版 - Actions
- Actions (V体育官网)
- V体育ios版 - Actions
- "V体育平台登录" Actions
- "VSports" Actions
- "VSports" Actions
- V体育平台登录 - Actions
- "VSports手机版" Actions
Substances
- "V体育平台登录" Actions
- "VSports最新版本" Actions
LinkOut - more resources
Full Text Sources
Other Literature Sources (VSports)
Medical
