Skip to main page content
U.S. flag

An official website of the United States government

Dot gov

The . gov means it’s official. Federal government websites often end in VSports app下载. gov or . mil. Before sharing sensitive information, make sure you’re on a federal government site. .

Https

The site is secure. The https:// ensures that you are connecting to the official website and that any information you provide is encrypted and transmitted securely V体育官网. .

. 2013 Oct;34(10):2034-8.
doi: 10.3174/ajnr.A3560. Epub 2013 May 16.

Neuroradiologic features in X-linked α-thalassemia/mental retardation syndrome

Affiliations

Neuroradiologic features in X-linked α-thalassemia/mental retardation syndrome

T Wada et al. AJNR Am J Neuroradiol. 2013 Oct.

Abstract

Background and purpose: X-linked α-thalassemia/mental retardation syndrome (Mendelian Inheritance in Man, 301040) is one of the X-linked intellectual disability syndromes caused by mutations of the ATRX gene and characterized by male predominance, central hypotonic facies, severe cognitive dysfunction, hemoglobin H disease (α-thalassemia), genital and skeletal abnormalities, and autistic and peculiar behavior VSports手机版. More than 200 patients in the world, including >70 Japanese patients, have been diagnosed with ATR-X syndrome. .

Materials and methods: We reviewed the brain MRI and/or CT findings of 27 Japanese patients with ATR-X with ATRX mutations retrospectively. V体育安卓版.

Results: The findings were categorized into 5 types: 1) nonspecific brain atrophy (17/27); 2) white matter abnormalities, especially around the trigones (11/27); 3) widespread and scattered white matter abnormalities (1/27); 4) delayed myelination (4/27); and 5) severe and rapidly progressive cortical brain atrophy (1/27). V体育ios版.

Conclusions: This is the first report on a comprehensive study of brain MRI/CT findings of ATR-X syndrome. Our findings suggest that the ATRX protein seems to be involved in normal myelination. The classification will require revisions in the near future, but it will be helpful in establishing the relationship between ATRX mutation and brain development and understanding the ATRX protein function in the brain. VSports最新版本.

PubMed Disclaimer

Figures

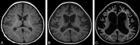
Fig 1.
Fig 1.
Type 1. Nonspecific brain atrophy. T1WI (A) and T2WI (B) of a 9-year-old patient (case 4) with an ATRX mutation of the ADD domain in exon 6 (c.390_391 ins A; E131fs). Nonprogressive diffuse cortical brain atrophy and ventricular enlargement due to loss of white matter volume are shown.
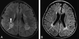
Fig 2.
Fig 2.
Type 2. White matter abnormalities, especially around the trigones. FLAIR image of a 4-year-old patient (case 22) (A) with an ATRX mutation of the chromatin-remodeling domain in exon 19 (p.V1624M), and a 35-month-old patient (case 21) (B) with an ATRX mutation of the chromatin-remodeling domain in exon 19 (p.A1622V). Increased signal intensity on T1WI/FLAIR in the periventricular region, especially around the peritrigonal area (arrow), and enlargement of perivascular space (arrowhead) are seen.
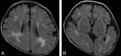
Fig 3.
Fig 3.
Type 3. Widespread and scattered white matter abnormalities. FLAIR image of a 12-month-old patient (case 1) with an ATRX mutation of a nucleotide substitution in 5′-UTR. Note high signal intensity on FLAIR/T2WI in the white matter, especially in the peritrigonal area and deep white matter, not in a diffuse but in a widespread and scattered pattern.
Fig 4.
Fig 4.
Type 4. Delayed myelination. T1WI (A) and T2WI (B) of a 4-month-old patient (case 26) with an ATRX mutation in exon 35 (c.7156C>T, p.Arg2386Stop). Myelination appears only at the posterior limb of the internal capsule (long arrow) on T1WI. At 4 months of age in a healthy infant, high intensity should extend from the junction of the anterior limb of the internal capsule at the callosal genu (short arrow) all the way back to the visual cortex (arrowhead) along the internal capsule and optic radiations.
Fig 5.
Fig 5.
Type 5. Progressive brain atrophy. Sequential change of brain MR imaging of patient 27 with an ATRX mutation in int 35 (c.7200 + 4A>G, p.L2401fs) at 6 months (T1WI) (A), 14 months (T1WI) (B), and 34 months (FLAIR) (C).

References

    1. Gibbons RJ, Picketts DJ, Villard L, et al. . Mutations in a putative global transcriptional regulator cause X-linked mental retardation with alpha-thalassemia (ATR-X syndrome). Cell 1995;80:837–45 - "V体育平台登录" PubMed
    1. Gibbons RJ, Wada T, Fisher CA, et al. . Mutations in the chromatin-associated protein ATRX. Hum Mutat 2008;29:796–802 - "VSports最新版本" PubMed
    1. Tsankova N, Renthal W, Kumar A, et al. . Epigenetic regulation in psychiatric disorders. Nat Rev Neurosci 2007;8:355–67 - PubMed
    1. Wada T, Kubota T, Fukushima Y, et al. . Molecular genetic study of Japanese patients with X-linked alpha-thalassemia/mental retardation syndrome (ATR-X). Am J Med Genet 2000;94:242–48 - PubMed (V体育官网入口)
    1. Wada T, Nakamura M, Matsushita Y, et al. . Three Japanese children with X-linked alpha-thalassemia/mental retardation syndrome (ATR-X) [in Japanese]. No To Hattatsu 1998;30:283–89 - PubMed

V体育平台登录 - Publication types

MeSH terms (VSports)

"VSports在线直播" Supplementary concepts