Downregulation of the NHE3-binding PDZ-adaptor protein PDZK1 expression during cytokine-induced inflammation in interleukin-10-deficient mice (V体育平台登录)
- PMID: 22848392
- PMCID: PMC3407152
- DOI: 10.1371/journal.pone.0040657 (V体育官网入口)
Downregulation of the NHE3-binding PDZ-adaptor protein PDZK1 expression during cytokine-induced inflammation in interleukin-10-deficient mice
"VSports注册入口" Abstract
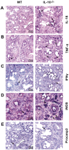
Background: Impaired salt and water absorption is an important feature in the pathogenesis of diarrhea in inflammatory bowel disease (IBD) VSports手机版. We analyzed the expression of proinflammatory cytokines in the infiltrating immune cells and the function and expression of the Na(+)/H(+) exchanger isoform 3 (NHE3) and its regulatory PDZ-adaptor proteins NHERF1, NHERF2, and PDZK1 in the colon of interleukin-10-deficient (IL-10(-/-)) mice. .
Methodology/principal findings: Gene and protein expression were analyzed by real-time reverse transcription polymerase chain reaction (qRT-PCR), in situ RT-PCR, and immunohistochemistry. NHE3 activity was measured fluorometrically in apical enterocytes within isolated colonic crypts. Mice developed chronic colitis characterized by a typical immune cell infiltration composed of T-lymphocytes and macrophages, with high levels of gene and protein expression of the proinflammatory cytokines interleukin-1β and tumor necrosis factor-α. In parallel, inducible nitric oxide synthase expression was increased while procaspase 3 expression was unaffected. Interferon-γ expression remained low. Although acid-activated NHE3 activity was significantly decreased, the inflammatory process did not affect its gene and protein expression or its abundance and localization in the apical membrane V体育安卓版. However, expression of the PDZ-adaptor proteins NHERF2 and PDZK1 was downregulated. NHERF1 expression was unchanged. In a comparative analysis we observed the PDZK1 downregulation also in the DSS (dextran sulphate sodium) model of colitis. .
Conclusions/significance: The impairment of the absorptive function of the inflamed colon in the IL-10(-/-) mouse, in spite of unaltered NHE3 expression and localization, is accompanied by the downregulation of the NHE3-regulatory PDZ adaptors NHERF2 and PDZK1. We propose that the downregulation of PDZ-adaptor proteins may be an important factor leading to NHE3 dysfunction and diarrhea in the course of the cytokine-mediated inflammatory process in these animal models of IBD. V体育ios版.
Conflict of interest statement
Figures
References
-
- Podolsky DK. Inflammatory bowel disease. N Engl J Med. 2002;347:417–429. - PubMed
-
- Field M. Intestinal ion transport and the pathophysiology of diarrhea. J Clin Invest. 2003;111:931–943. - PMC (VSports手机版) - PubMed
-
- Rogler G, Andus T. Cytokines in inflammatory bowel disease. World J Surg. 1998;22:382–389. - PubMed
-
- Neurath MF, Fuss I, Pasparakis M, Alexopoulou L, Haralambous S, et al. Predominant pathogenic role of tumor necrosis factor in experimental colitis in mice. Eur J Immunol. 1997;27:1743–1750. - PubMed
Publication types
MeSH terms
- "V体育ios版" Actions
- "V体育官网入口" Actions
- VSports最新版本 - Actions
- V体育官网入口 - Actions
- Actions (V体育平台登录)
- V体育平台登录 - Actions
- Actions (VSports)
- VSports注册入口 - Actions
- "VSports在线直播" Actions
- VSports - Actions
- Actions (V体育官网)
- V体育官网入口 - Actions
- Actions (VSports手机版)
VSports最新版本 - Substances
- "V体育官网" Actions
- "VSports手机版" Actions
- Actions (VSports在线直播)
- V体育2025版 - Actions
- "V体育2025版" Actions
- "V体育官网" Actions
LinkOut - more resources
"VSports app下载" Full Text Sources
Other Literature Sources
Medical
Molecular Biology Databases
Miscellaneous
