Cross-talk between the mitogen activated protein kinase and bone morphogenetic protein/hemojuvelin pathways is required for the induction of hepcidin by holotransferrin in primary mouse hepatocytes
- PMID: 19454495
- PMCID: V体育官网入口 - PMC2688567
- DOI: 10.3324/haematol.2008.003541
Cross-talk between the mitogen activated protein kinase and bone morphogenetic protein/hemojuvelin pathways is required for the induction of hepcidin by holotransferrin in primary mouse hepatocytes (VSports app下载)
"V体育官网" Abstract
Background: The circulating hormone hepcidin plays a central role in iron homeostasis. Our goal was to establish an ex vivo iron-sensing model and to characterize the molecular mechanisms linking iron to hepcidin. VSports手机版.
Design and methods: Murine hepatocytes were isolated by the collagenase method, either from wild type or HFE knockout mice, and cultured 42 h without serum before treatments. V体育安卓版.
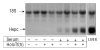
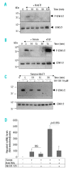
Results: After 42 h of serum-free culture, hepcidin gene expression was undetectable in the hepatocytes. Hepcidin gene expression could, however, be re-activated by an additional 24 h of incubation with 10% serum V体育ios版. Interestingly, addition of 30 microM holotransferrin consistently increased serum-dependent hepcidin levels 3- to 5-fold. The effects of serum and serum+holotransferrin were direct, transcriptional, independent of de novo protein synthesis and required the presence of bone morphogenetic protein. Transferrin receptor-2 activation by its ligand holotransferrin led to extracellular signal regulated kinase (ERK)/mitogen activated protein kinase pathway stimulation and the ERK specific inhibitor U0-126 blunted holotransferrin-mediated induction of hepcidin. ERK activation by holotransferrin provoked increased levels of phospho-Smad1/5/8 highlighting cross-talk between the bone morphogenetic protein/hemojuvelin and ERK1/2 pathways. Finally, we demonstrated, using hepatocytes isolated from Hfe(-/-) mice, that HFE was not critical for the hepcidin response to holotransferrin but important for basal hepcidin expression. .
Conclusions: We demonstrate that hepatocytes are liver iron-sensor cells and that transferrin receptor-2, by signaling through the ERK1/2 pathway, and bone morphogenetic protein/hemojuvelin, by signaling through the Smad pathways, coordinately regulate the iron-sensing machinery linking holotransferrin to hepcidin VSports最新版本. .
Figures
References
-
- Ganz T. Hepcidin and its role in regulating systemic iron metabolism. Hematology Am Soc Hematol Educ Program. 2006:29–35. - PubMed
-
- Pigeon C, Ilyin G, Courselaud B, Leroyer P, Turlin B, Brissot P, et al. A new mouse liver specific gene, encoding a protein homologous to human antimicrobial peptide hepcidin, is overexpressed during iron overload. J Biol Chem. 2001;276:7811–9. - PubMed (VSports手机版)
Publication types
MeSH terms
- V体育官网入口 - Actions
- Actions (V体育官网)
- V体育官网 - Actions
- Actions (VSports最新版本)
- Actions (V体育2025版)
- "VSports app下载" Actions
- "V体育2025版" Actions
- V体育ios版 - Actions
- Actions (VSports最新版本)
- Actions (V体育安卓版)
- "VSports最新版本" Actions
- VSports在线直播 - Actions
- Actions (VSports最新版本)
- "V体育安卓版" Actions
- Actions (V体育ios版)
- "V体育官网" Actions
Substances
- V体育官网入口 - Actions
- Actions (VSports手机版)
- "VSports注册入口" Actions
- Actions (V体育ios版)
- V体育ios版 - Actions
- VSports app下载 - Actions
- "VSports注册入口" Actions
- "V体育平台登录" Actions
- V体育ios版 - Actions
- "VSports最新版本" Actions
V体育平台登录 - LinkOut - more resources
Full Text Sources
Miscellaneous
