Reticular basement membrane in asthma and COPD: similar thickness, yet different composition
- PMID: 19436691
- PMCID: VSports在线直播 - PMC2672795
- DOI: 10.2147/copd.s4639 (V体育2025版)
Reticular basement membrane in asthma and COPD: similar thickness, yet different composition
Abstract
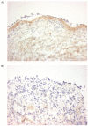
Background: Reticular basement membrane (RBM) thickening has been variably associated with asthma and chronic obstructive pulmonary disease (COPD). Even if RBM thickness is similar in both diseases, its composition might still differ. VSports手机版.
Objective: To assess whether RBM thickness and composition differ between asthma and COPD. V体育安卓版.
Methods: We investigated 24 allergic asthmatics (forced expiratory volume in one second [FEV(1)] 92% predicted), and 17 nonallergic COPD patients (FEV(1) 60% predicted), and for each group a control group of similar age and smoking habits (12 and 10 persons, respectively). Snap-frozen sections of bronchial biopsies were stained with hematoxylin/eosin and for collagen I, III, IV, V, laminin and tenascin. RBM thickening was assessed by digital image analysis. Relative staining intensity of each matrix component was determined V体育ios版. .
Results: Mean (SD) RBM thickness was not significantly different between asthma and COPD 5. 5 (1 VSports最新版本. 3) vs 6. 0 (1. 8) microm, but significantly larger than in their healthy counterparts, ie, 4. 7 (0. 9) and 4. 8 (1. 2) microm, respectively. Collagen I and laminin stained significantly stronger in asthma than in COPD. Tenascin stained stronger in asthma than in healthy controls of similar age, and stronger in COPD controls than in asthma controls (p < 0. 05). .
Conclusion: RBM thickening occurs both in asthma and COPD. We provide supportive evidence that its composition differs in asthma and COPD V体育平台登录. .
Figures
References
-
- Dunnill MS, Massarella GR, Anderson JA. A comparison of the quantitative anatomy of the bronchi in normal subjects, in status asthmaticus, in chronic bronchitis, and in emphysema. Thorax. 1969;24(2):176–179. - "VSports app下载" PMC - PubMed
-
- Bousquet J, Jeffery PK, Busse WW, Johnson M, Vignola AM. Asthma. From bronchoconstriction to airways inflammation and remodeling. Am J Respir Crit Care Med. 2000;161(5):1720–1745. - PubMed
-
- Kasahara K, Shiba K, Ozawa T, Okuda K, Adachi M. Correlation between the bronchial subepithelial layer and whole airway wall thickness in patients with asthma. Thorax. 2002;57(3):242–246. - "V体育官网" PMC - PubMed
-
- James AL, Maxwell PS, Pearce-Pinto G, Elliot JG, Carroll NG. The relationship of reticular basement membrane thickness to airway wall remodeling in asthma. Am J Respir Crit Care Med. 2002;166(12 Pt 1):1590–1595. - PubMed
-
- Jeffery PK, Wardlaw AJ, Nelson FC, Collins JV, Kay AB. Bronchial biopsies in asthma. An ultrastructural, quantitative study and correlation with hyperreactivity. Am Rev Respir Dis. 1989;140(6):1745–1753. - PubMed
Publication types
- "VSports" Actions
V体育ios版 - MeSH terms
- Actions (VSports)
- "VSports app下载" Actions
- "VSports最新版本" Actions
- "VSports注册入口" Actions
- VSports在线直播 - Actions
- "V体育平台登录" Actions
- "V体育平台登录" Actions
- V体育ios版 - Actions
- Actions (V体育安卓版)
- VSports注册入口 - Actions
- "V体育2025版" Actions
- Actions (V体育官网)
- Actions (V体育官网入口)
Substances
- "VSports最新版本" Actions
