VSports最新版本 - Chronic exposure to trichloroethene causes early onset of SLE-like disease in female MRL +/+ mice
- PMID: 18234256
- PMCID: PMC2442272
- DOI: VSports手机版 - 10.1016/j.taap.2007.11.031
Chronic exposure to trichloroethene causes early onset of SLE-like disease in female MRL +/+ mice
Abstract
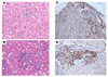
Trichloroethene (TCE) exacerbates the development of autoimmune responses in autoimmune-prone MRL +/+ mice VSports手机版. Although TCE-mediated autoimmune responses are associated with an increase in serum immunoglobulins and autoantibodies, the underlying mechanism of autoimmunity is not known. To determine the progression of TCE-mediated immunotoxicity, female MRL +/+ mice were chronically exposed to TCE through the drinking water (0. 5 mg/ml of TCE) for various periods of time. Serum concentrations of antinuclear antibodies increased after 36 and 48 weeks of TCE exposure. Histopathological analyses showed lymphocyte infiltration in the livers of MRL +/+ mice exposed to TCE for 36 or 48 weeks. Lymphocyte infiltration was also apparent in the pancreas, lungs, and kidneys of mice exposed to TCE for 48 weeks. Immunoglobulin deposits in kidney glomeruli were found after 48 weeks of exposure to TCE. Our results suggest that chronic exposure to TCE promotes inflammation in the liver, pancreas, lungs, and kidneys, which may lead to SLE-like disease in MRL +/+ mice. .
Figures






References
-
- Bloemen LT, Monster AC, Kezic S, et al. Study on the cytochrome P-450- and Glutathione-dependent biotransformation of trichloroethylene in humans. Int. Arch. Occup. Environ. Health. 2001;74:102–108. - PubMed
-
- Bolt HM, Buchter A, Wolowski L, Gil DL, Bolt W. Incubation of 14C-trichloroethylene vapor with rat liver microsomes. Uptake of radioactivity and covalent protein binding of metabolites. Arch. Occup. Environ. Health. 1977;39:103–111. - PubMed
-
- Brasington RD, Jr, Thorpe-Swenson AJ. Systemic sclerosis associated with cutaneous exposure to solvent: case report and review of the literature. Arthritis Rheum. 1991;34:631–363. - PubMed
-
- Brautbar N. Industrial solvents and kidney diseases. Int. Occup. Environ. Health. 2004;10:79–83. - PubMed
Publication types
MeSH terms
- V体育平台登录 - Actions
- Actions (V体育2025版)
- "VSports在线直播" Actions
- "V体育官网入口" Actions
- Actions (VSports注册入口)
- Actions (V体育2025版)
- "VSports注册入口" Actions
- VSports - Actions
- VSports手机版 - Actions
- "V体育官网入口" Actions
- VSports注册入口 - Actions
- Actions (V体育2025版)
- Actions (V体育平台登录)
- "V体育官网入口" Actions
- V体育平台登录 - Actions
- V体育官网入口 - Actions
- Actions (VSports)
Substances
- VSports注册入口 - Actions
- Actions (V体育安卓版)
- "V体育2025版" Actions
- "V体育平台登录" Actions
- "V体育ios版" Actions