Purification of outer membrane vesicles from Pseudomonas aeruginosa and their activation of an IL-8 response (VSports最新版本)
- PMID: 16807039
- PMCID: VSports手机版 - PMC3525494
- DOI: 10.1016/j.micinf.2006.05.001
V体育官网 - Purification of outer membrane vesicles from Pseudomonas aeruginosa and their activation of an IL-8 response
V体育平台登录 - Abstract
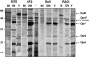
Considerable lung injury results from the inflammatory response to Pseudomonas aeruginosa infections in patients with cystic fibrosis (CF). The P. aeruginosa laboratory strain PAO1, an environmental isolate, and isolates from CF patients were cultured in vitro and outer membrane vesicles from those cultures were quantitated, purified, and characterized. Vesicles were produced throughout the growth phases of the culture and vesicle yield was strain-independent. Strain-dependent differences in the protein composition of vesicles were quantitated and identified VSports手机版. The aminopeptidase PaAP (PA2939) was highly enriched in vesicles from CF isolates. Vesicles from all strains elicited IL-8 secretion by lung epithelial cells. These results suggest that P. aeruginosa colonizing the CF lung may produce vesicles with a particular composition and that the vesicles could contribute to inflammation. .
Figures





VSports最新版本 - References
-
- Tummler B, Kiewitz C. Cystic fibrosis: an inherited susceptibility to bacterial respiratory infections. Mol. Med. Today. 1999;5:351–358. - PubMed
-
- Lyczak JB, Cannon CL, Pier GB. Establishment of Pseudomonas aeruginosa infection: lessons from a versatile opportunist. Microbes. Infect. 2000;2:1051–1060. - PubMed
-
- Kuehn MJ, Kesty NC. Bacterial outer membrane vesicles and the host-pathogen interaction. Genes Dev. 2005;19:2645–2655. - PubMed
-
- McBroom AJ, Kuehn MJ. Chapter 2.2.4, Outer Membrane Vesicles. In: Curtiss R III, editor. EcoSal-Escherichia coli and Salmonella: Cellular and Molecular Biology [online] ASM Press; Washington, D.C.: 2005. www.ecosal.org.
-
- Ciofu O, Beveridge TJ, Kadurugamuwa J, Walther-Rasmussen J, Hoiby N. Chromosomal beta-lactamase is packaged into membrane vesicles and secreted from Pseudomonas aeruginosa. J. Antimicrob. Chemother. 2000;45:9–13. - "V体育平台登录" PubMed
Publication types
- "V体育2025版" Actions
MeSH terms
- Actions (V体育官网入口)
- V体育官网入口 - Actions
- Actions (V体育官网)
- V体育2025版 - Actions
- Actions (V体育平台登录)
- VSports最新版本 - Actions
- "V体育平台登录" Actions
"VSports在线直播" Substances
- V体育ios版 - Actions
Grants and funding
LinkOut - more resources
Full Text Sources
VSports - Other Literature Sources
Medical