"VSports app下载" Critical role of multidrug efflux pump CmeABC in bile resistance and in vivo colonization of Campylobacter jejuni
- PMID: 12874300
- PMCID: PMC165992
- DOI: 10.1128/IAI.71.8.4250-4259.2003
Critical role of multidrug efflux pump CmeABC in bile resistance and in vivo colonization of Campylobacter jejuni
Abstract
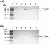
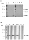
CmeABC functions as a multidrug efflux pump contributing to the resistance of Campylobacter to a broad range of antimicrobials. In this study, we examined the role of CmeABC in bile resistance and its contribution to the adaptation of Campylobacter jejuni in the intestinal tract of the chicken, a natural host and a major reservoir for Campylobacter. Inactivation of cmeABC drastically decreased the resistance of Campylobacter to various bile salts. Addition of choleate (2 mM) in culture medium impaired the in vitro growth of the cmeABC mutants but had no effect on the growth of the wild-type strain. Bile concentration varied in the duodenum, jejunum, and cecum of chicken intestine, and the inhibitory effect of the intestinal extracts on the in vitro growth of Campylobacter was well correlated with the total bile concentration in the individual sections of chicken intestine. When inoculated into chickens, the wild-type strain colonized the birds as early as day 2 postinoculation with a density as high as 10(7) CFU/g of feces VSports手机版. In contrast, the cmeABC mutants failed to colonize any of the inoculated chickens throughout the study. The minimum infective dose for the cmeABC mutant was at least 2. 6 x 10(4)-fold higher than that of the wild-type strain. Complementation of the cmeABC mutants with a wild-type cmeABC allele in trans fully restored the in vitro growth in bile-containing media and the in vivo colonization to the levels of the wild-type strain. Immunoblotting analysis indicated that CmeABC is expressed and immunogenic in chickens experimentally infected with C. jejuni. Together, these findings provide compelling evidence that CmeABC, by mediating resistance to bile salts in the intestinal tract, is required for successful colonization of C. jejuni in chickens. Inhibition of CmeABC function may not only control antibiotic resistance but also prevent the in vivo colonization of pathogenic Campylobacter. .
Figures




"V体育ios版" References
-
- Achen, M., T. Y. Morishita, and E. C. Ley. 1998. Shedding and colonization of Campylobacter jejuni in broilers from day-of-hatch to slaughter age. Avian Dis. 42:732-737. - PubMed
-
- Agellon, L. B., and E. C. Torchia. 2000. Intracellular transport of bile acids. Biochim. Biophys. Acta 1486:198-209. - PubMed (V体育安卓版)
-
- Bacon, D. J., R. A. Alm, L. Hu, T. E. Hickey, C. P. Ewing, R. A. Batchelor, T. J. Trust, and P. Guerry. 2002. DNA sequence and mutational analyses of the pVir plasmid of Campylobacter jejuni 81-176. Infect. Immun. 70:6242-6250. - PMC (VSports在线直播) - PubMed
-
- Bacon, D. J., C. M. Szymanski, D. H. Burr, R. P. Silver, R. A. Alm, and P. Guerry. 2001. A phase-variable capsule is involved in virulence of Campylobacter jejuni 81-176. Mol. Microbiol. 40:769-777. - VSports - PubMed
Publication types
- "V体育安卓版" Actions
MeSH terms
- "V体育安卓版" Actions
- "V体育安卓版" Actions
- "VSports app下载" Actions
- "V体育ios版" Actions
- "V体育官网" Actions
- Actions (VSports app下载)
- "V体育安卓版" Actions
- VSports注册入口 - Actions
- V体育安卓版 - Actions
- "V体育2025版" Actions
"VSports手机版" Substances
V体育安卓版 - Grants and funding
LinkOut - more resources
Full Text Sources (V体育平台登录)
Other Literature Sources