Mutation of luxS affects biofilm formation in Streptococcus mutans (VSports最新版本)
- PMID: 12654815
- PMCID: PMC152054
- DOI: V体育安卓版 - 10.1128/IAI.71.4.1972-1979.2003
VSports - Mutation of luxS affects biofilm formation in Streptococcus mutans
Abstract (VSports手机版)
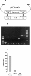
Quorum sensing is a bacterial mechanism for regulating gene expression in response to changes in population density. Many bacteria are capable of acyl-homoserine lactone-based or peptide-based intraspecies quorum sensing and luxS-dependent interspecies quorum sensing. While there is good evidence about the involvement of intraspecies quorum sensing in bacterial biofilm, little is known about the role of luxS in biofilm formation. In this study, we report for the first time that luxS-dependent quorum sensing is involved in biofilm formation of Streptococcus mutans. S. mutans is a major cariogenic bacterium in the multispecies bacterial biofilm commonly known as dental plaque. An ortholog of luxS for S. mutans was identified using the data available in the S. mutans genome project (http://www. genome. ou. edu/smutans. html). Using an assay developed for the detection of the LuxS-associated quorum sensing signal autoinducer 2 (AI-2), it was demonstrated that this ortholog was able to complement the luxS negative phenotype of Escherichia coli DH5alpha. It was also shown that AI-2 is indeed produced by S. mutans. AI-2 production is maximal during mid- to late-log growth in batch culture. Mutant strains devoid of the luxS gene were constructed and found to be defective in producing the AI-2 signal. There are also marked phenotypic differences between the wild type and the luxS mutants. Microscopic analysis of in vitro-grown biofilm structure revealed that the luxS mutant biofilms adopted a much more granular appearance, rather than the relatively smooth, confluent layer normally seen in the wild type. These results suggest that LuxS-dependent signal may play an important role in biofilm formation of S VSports手机版. mutans. .
Figures





References
-
- Barbeau, J., C. Gauthier, and P. Payment. 1998. Biofilms, infectious agents, and dental unit waterlines: a review. Can. J. Microbiol. 44:1019-1028. - PubMed
-
- Bassler, B. L. 1999. How bacteria talk to each other: regulation of gene expression by quorum sensing. Curr. Opin. Microbiol. 2:582-587. - PubMed
-
- Bullock, W. O., J. M. Fernandez, and J. M. Short. 1987.J. M. XL1-Blue: a high efficiency plasmid transforming recA Escherichia coli strain with beta-galactosidase selection. BioTechniques 5:376-379.
-
- Chen, P., F. Qi, J. Novak, and P. W. Caufield. 1999. The specific genes for lantibiotic mutacin II biosynthesis in Streptococcus mutans T8 are clustered and can be transferred en bloc. Appl. Environ. Microbiol. 65:1356-1360. - VSports注册入口 - PMC - PubMed
-
- Chen, X., S. Schauder, N. Potier, A. Van Dorsselaer, I. Pelczer, B. L. Bassler, and F. M. Hughson. 2002. Structural identification of a bacterial quorum-sensing signal containing boron. Nature 415:545-549. - PubMed
Publication types
MeSH terms
- V体育官网入口 - Actions
- V体育ios版 - Actions
- "V体育官网入口" Actions
- V体育ios版 - Actions
- "V体育平台登录" Actions
- "V体育2025版" Actions
- V体育官网 - Actions
VSports app下载 - Substances
- "V体育2025版" Actions
- Actions (VSports app下载)
- "V体育官网" Actions
Grants and funding
LinkOut - more resources
Full Text Sources
VSports app下载 - Other Literature Sources