Protective effect of ascorbic acid in experimental gastric cancer: reduction of oxidative stress
- PMID: 12632494
- PMCID: PMC4621558
- DOI: 10.3748/wjg.v9.i3.446
Protective effect of ascorbic acid in experimental gastric cancer: reduction of oxidative stress
Abstract
Aim: Oxidative stress participates in the cell carcinogenesis by inducing DNA mutations. Our aim was to assess whether ascorbic acid, an antioxidant, could have a role in preventing ROS (Reactive Oxygen Species) generation in experimental gastric carcinoma in a rat model VSports手机版. .
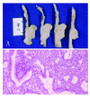
Methods: Experimental gastric cancer was induced in twelve Wistar male rats (weighting 250-350 g) by profound duodeno-gastric reflux throught split gastrojenunostomy. The rats were allocated to the following groups: Group I (n=6) was the control; Group II (n=6) which was mantained with daily intake of tape water with Vitamin C (30 mg/Kg). After 6 or 12 months, samples of gastric tumor or non tumor mucosa were taken from the anastomosis of both groups. Oxidative stress was measured by superoxide quantification through lucigenin-amplified chemiluminescence base and by staining with Nitrobluetetrazolium. The histopathologic confirmation of adenocarcinoma was made by eosin-hemathoxilin method. V体育安卓版.
Results: The intestinal type of gastric adenocarcinoma was microscopically identified in all animals of group I whereas only 3 rats of group II showed an adenocarcinoma without macroscopic evidence of them. The cancers were located in the anastomosis in all cases. Basal luminescence from tumor gastric tissue generated 38. 4+/-6. 8 count per minute/mg/X10(6) (mean+/-SD) and 14. 9+/-4. 0 count per minute/mg/X10(6), respectively, in group I and II animals (P<0. 05). The Nitrobluetetrazolium method showed intense staining in tumor tissues but not in non neoplasic mucosa. V体育ios版.
Conclusion: Experimental gastric tumors seem to produce more reactive oxygen species than non neoplasic gastric tissue. The reduction of oxidative stress and gastric tumor incidence in rats were induced by the intake of ascorbic acid VSports最新版本. Therefore, it may have a role in the prevention of gastric carcinoma. .
V体育官网入口 - Figures
References
-
- Correa P. A New Paradigm For Human Gastric Carcinogenesis. J Clin Gastroenterol. 2000;30:381–385. - PubMed (VSports在线直播)
-
- Nair S, Norkus EP, Hertan H, Pitchumoni CS. Micronutrient antioxidants in gastric mucosa and serum in patients with gastritis and gastric ulcer: does Helicobacter pylori infection affect the mucosal levels. J Clin Gastroenterol. 2000;30:381–385. - PubMed
-
- Reed PI. Vitamin C, Helicobacter pylori infection and gastric carcinogenesis. Int J Vitam Nutr Res. 1999;69:220–227. - PubMed (VSports在线直播)
"V体育官网入口" MeSH terms
- Actions (VSports注册入口)
- V体育官网入口 - Actions
- Actions (V体育平台登录)
- V体育官网入口 - Actions
- Actions (VSports最新版本)
- "V体育2025版" Actions
Substances
- "VSports手机版" Actions
- "V体育官网" Actions
LinkOut - more resources (VSports手机版)
Full Text Sources (V体育官网入口)
Medical
