"V体育2025版" RegG, a CcpA homolog, participates in regulation of amylase-binding protein A gene (abpA) expression in Streptococcus gordonii
- PMID: 11344161
- PMCID: PMC99651
- DOI: 10.1128/JB.183.11.3521-3525.2001
RegG, a CcpA homolog, participates in regulation of amylase-binding protein A gene (abpA) expression in Streptococcus gordonii
Abstract (VSports手机版)
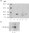
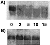
The amylase-binding protein A (AbpA) of Streptococcus gordonii was found to be undetectable in supernatants of mid-log-phase cultures containing >1% glucose but abundant in supernatants of cultures made with brain heart infusion (BHI), which contains 0. 2% glucose. A 10-fold decrease in the level of abpA mRNA in S. gordonii cells cultured in BHI was noted after the addition of glucose to 1%. Analysis of the abpA sequence revealed a potential catabolite responsive element CRE 153 bp downstream of the putative translational start site. A catabolite control protein A gene (ccpA) homolog from S. gordonii, designated regG, was cloned VSports手机版. A regG mutant strain demonstrated moderately less repression of abpA transcription in the presence of 1% glucose. Diauxic growth with glucose and lactose was not affected in the RegG mutant compared to the wild-type parental strain. These results suggest that while RegG plays a role in abpA expression, other mechanisms of catabolite repression are present. .
Figures




V体育安卓版 - References
-
- Aguirre A, Levine M J, Cohen R E, Tabak L A. Immunochemical quantitation of alpha-amylase and secretory IgA in parotid saliva from people of various ages. Arch Oral Biol. 1987;32:297–301. - PubMed
-
- Behnke D. Plasmid transformation of Streptococcus sanguis (Challis) occurs by circular and linear molecules. Mol Gen Genet. 1981;182:490–497. - PubMed
-
- Bochud P Y, Eggiman P, Calandra T, Van Melle G, Saghafi L, Francioli P. Bacteremia due to viridans streptococcus in neutropenic patients with cancer: clinical spectrum and risk factors. Clin Infect Dis. 1994;18:25–31. - PubMed
Publication types
- "VSports app下载" Actions
MeSH terms (VSports注册入口)
- "V体育官网" Actions
- V体育2025版 - Actions
- "VSports注册入口" Actions
- VSports app下载 - Actions
- "V体育2025版" Actions
- VSports - Actions
- "VSports手机版" Actions
- "VSports最新版本" Actions
Substances
- "V体育安卓版" Actions
- V体育官网 - Actions
- "V体育安卓版" Actions
Associated data
- Actions
Grants and funding
LinkOut - more resources
Full Text Sources