"V体育ios版" Characterization of pic, a secreted protease of Shigella flexneri and enteroaggregative Escherichia coli
- PMID: 10531204
- PMCID: VSports在线直播 - PMC96930
- DOI: 10.1128/IAI.67.11.5587-5596.1999
Characterization of pic, a secreted protease of Shigella flexneri and enteroaggregative Escherichia coli (V体育安卓版)
Abstract
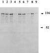
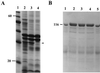
We have identified and characterized a secreted protein, designated Pic, which is encoded on the chromosomes of enteroaggregative Escherichia coli (EAEC) 042 and Shigella flexneri 2457T. The product of the pic gene is synthesized as a 146. 5-kDa precursor molecule which is processed at the N and C termini during secretion, allowing the release of a mature protein (109. 8 kDa) into the culture supernatant VSports手机版. The deduced amino acid sequence of Pic shows high homology to autotransporter proteins, particularly a subgroup termed the SPATEs (serine protease autotransporters of the Enterobacteriaceae). Present in all members of this subgroup is a motif similar to the active sites of certain serine proteases. Pic catalyzes gelatin degradation, which can be abolished by disruption of the predicted proteolytic active site. Functional analysis of the Pic protein implicates this factor in mucinase activity, serum resistance, and hemagglutination. Our data suggest that Pic may be a multifunctional protein involved in enteric pathogenesis. .
Figures
References
-
- Aebi C, Lafontaine E R, Cope L D, Latimer J L, Lumbley S L, McCracken G H, Jr, Hansen E J. Phenotypic effect of isogenic uspA1 and uspA2 mutations on Moraxella catarrhalis 035E. Infect Immun. 1998;66:3113–3119. - "VSports手机版" PMC - PubMed
-
- Andoh A, Fujiyama Y, Sakumoto H, Uchihara H, Kimura T, Koyama S, Bamba T. Detection of complement C3 and factor B gene expression in normal colorectal mucosa, adenomas and carcinomas. Clin Exp Immunol. 1998;111:477–483. - V体育官网入口 - PMC - PubMed
-
- Ausubel F M, Brent R, Kingston R E, Moore D D, Seidman J G, Smith J A, Struhl K, editors. Current protocols in molecular biology. New York, N.Y: Greene Publishing Associates; 1989.
-
- Bardwell J C, McGovern K, Beckwith J. Identification of a protein required for disulfide bond formation in vivo. Cell. 1991;67:581–589. - PubMed
-
- Benjelloun-Touimi Z, Sansonetti P J, Parsot C. SepA, the major extracellular protein of Shigella flexneri: autonomous secretion and involvement in tissue invasion. Mol Microbiol. 1995;17:123–135. - PubMed (VSports app下载)
VSports注册入口 - Publication types
"V体育平台登录" MeSH terms
- VSports在线直播 - Actions
- "VSports手机版" Actions
- "V体育平台登录" Actions
- "VSports最新版本" Actions
- Actions (V体育安卓版)
- V体育官网入口 - Actions
- V体育官网 - Actions
- VSports在线直播 - Actions
- Actions (VSports app下载)
Substances
- VSports app下载 - Actions
- "V体育官网" Actions
"VSports在线直播" Associated data
- Actions
Grants and funding
LinkOut - more resources (V体育平台登录)
Full Text Sources
Other Literature Sources
VSports注册入口 - Molecular Biology Databases
