Abstract
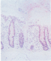
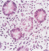
Aphthoid ulceration has been regarded as an early macroscopic feature of Crohn's disease, yet the cause of this mucosal lesion is unknown. Examination of areas of apparently normal and non-inflamed bowel in Crohn's disease has allowed the identification of mucosal changes which occur before macroscopic and microscopic ulceration. Thirty five resection specimens from patients with Crohn's disease were compared with 12 specimens from patients with ulcerative colitis and 13 controls. Specimens were fixed either by immersion in formalin in the routine way or by perfusion fixation with formalin at mean arterial pressure V体育ios版. Immunostaining for macrophages, vessel wall, and blood constituents allowed identification of small mucosal capillaries which were not apparent otherwise. In Crohn's disease damage and rupture of these small capillaries occurred before infiltration of the lamina propria by inflammatory cells. Loss of the overlying epithelium seemed to follow this vascular damage.
Full text
PDF






Images in this article
V体育官网入口 - Selected References
These references are in PubMed. This may not be the complete list of references from this article VSports最新版本.
- Allison M. C., Cornwall S., Poulter L. W., Dhillon A. P., Pounder R. E. Macrophage heterogeneity in normal colonic mucosa and in inflammatory bowel disease. Gut. 1988 Nov;29(11):1531–1538. doi: 10.1136/gut.29.11.1531. [DOI] [PMC free article] [PubMed] [Google Scholar]
- Allison M. C., Hamilton-Dutoit S. J., Dhillon A. P., Pounder R. E. The value of rectal biopsy in distinguishing self-limited colitis from early inflammatory bowel disease. Q J Med. 1987 Dec;65(248):985–995. [PubMed] [Google Scholar]
- BROOKE B. N. What is ulcerative colitis? Lancet. 1953 Jun 20;1(6773):1220–1225. doi: 10.1016/s0140-6736(53)92256-9. [V体育平台登录 - DOI] [PubMed] [Google Scholar]
- Bogomoletz W. V. Fibrin thrombi, a cause of clindamycin-associated colitis? Gut. 1976 Jun;17(6):483–487. doi: 10.1136/gut.17.6.483. [V体育官网入口 - DOI] [PMC free article] [PubMed] [Google Scholar]
- Dhillon A. P., Anthony A., Sim R., Wakefield A. J., Sankey E. A., Hudson M., Allison M. C., Pounder R. E. Mucosal capillary thrombi in rectal biopsies. Histopathology. 1992 Aug;21(2):127–133. doi: 10.1111/j.1365-2559.1992.tb00360.x. [DOI] [PubMed] [Google Scholar]
- Donnellan W. L. Early histological changes in ulcerative colitis. A light and electron microscopic study. Gastroenterology. 1966 Apr;50(4):519–540. [PubMed] [Google Scholar]
- Donnellan W. L. The structure of the colonic mucosa. The epithelium and subepithelial reticulohistiocytic complex. Gastroenterology. 1965 Nov;49(5):496–514. [PubMed] [Google Scholar]
- Dourmashkin R. R., Davies H., Wells C., Shah D., Price A., O'Morain C., Levi J. Epithelial patchy necrosis in Crohn's disease. Hum Pathol. 1983 Jul;14(7):643–648. doi: 10.1016/s0046-8177(83)80207-x. [DOI] [PubMed] [Google Scholar]
- Eckardt V. F., Kanzler G., Remmele W. Anorectal ergotism: another cause of solitary rectal ulcers. Gastroenterology. 1986 Nov;91(5):1123–1127. doi: 10.1016/s0016-5085(86)80006-3. [DOI] [PubMed] [Google Scholar]
- Geller S. A., Cohen A. Arterial inflammatory-cell infiltration in Crohn's disease. Arch Pathol Lab Med. 1983 Sep;107(9):473–475. [V体育官网入口 - PubMed] [Google Scholar]
- Gionchetti P., Mahida Y. R., Patel S., Jewell D. P. Macrophage and lymphocyte subpopulations in magnifying endoscopic lesions of Crohn's disease. Clin Exp Immunol. 1988 Jun;72(3):373–376. [PMC free article] [PubMed] [Google Scholar]
- Knutson H., Lunderquist A., Lunderquist A. Vascular changes in Crohn's disease. Am J Roentgenol Radium Ther Nucl Med. 1968 Jun;103(2):380–385. doi: 10.2214/ajr.103.2.380. [DOI] [PubMed] [Google Scholar]
- Kojima M., Takahashi K. Pathological study on the changes of lymphatic tissues in shock with special reference to secondary nodule lesions. Acta Pathol Jpn. 1971 Aug;21(3):387–403. doi: 10.1111/j.1440-1827.1971.tb00131.x. [DOI] [PubMed] [Google Scholar]
- Kojima M., Takahashi K., Sue A., Imai Y. Study on the function and structure of blood vessels of the secondary nodules in lymph node. Acta Pathol Jpn. 1971 Aug;21(3):369–386. doi: 10.1111/j.1440-1827.1971.tb00130.x. [DOI] [PubMed] [Google Scholar]
- Kojima M., Takahashi K., Yamaguchi A., Sue A., Terashima K. Experimental analysis on pathogenesis of the secondary nodule lesions in lymph nodes induced by shock. Acta Pathol Jpn. 1971 Aug;21(3):405–424. doi: 10.1111/j.1440-1827.1971.tb00132.x. [DOI] [PubMed] [Google Scholar]
- LOCKHART-MUMMERY H. E., MORSON B. C. CROHN'S DISEASE OF THE LARGE INTESTINE. Gut. 1964 Dec;5:493–509. doi: 10.1136/gut.5.6.493. [DOI] [PMC free article] [PubMed] [Google Scholar]
- LOCKHART-MUMMERY H. E., MORSON B. C. Crohn's disease (regional enteritis) of the large intestine and its distinction from ulcerative colitis. Gut. 1960 Jun;1:87–105. doi: 10.1136/gut.1.2.87. [DOI] [PMC free article] [PubMed] [Google Scholar]
- Mahida Y. R., Patel S., Gionchetti P., Vaux D., Jewell D. P. Macrophage subpopulations in lamina propria of normal and inflamed colon and terminal ileum. Gut. 1989 Jun;30(6):826–834. doi: 10.1136/gut.30.6.826. [DOI] [PMC free article] [PubMed] [Google Scholar]
- Makiyama K., Bennett M. K., Jewell D. P. Endoscopic appearances of the rectal mucosa of patients with Crohn's disease visualised with a magnifying colonoscope. Gut. 1984 Apr;25(4):337–340. doi: 10.1136/gut.25.4.337. [DOI] [PMC free article] [PubMed] [Google Scholar]
- Margaretten W., McKay D. G. Thrombotic ulcerations of the gastrointestinal tract. Arch Intern Med. 1971 Feb;127(2):250–253. [PubMed (V体育ios版)] [Google Scholar]
- McGovern V. J., Goulston S. J. Crohn's disease of the colon. Gut. 1968 Apr;9(2):164–176. doi: 10.1136/gut.9.2.164. [DOI] [PMC free article] [PubMed] [Google Scholar]
- McGovern V. J., Goulston S. J. Ischaemic enterocolitis. Gut. 1965 Jun;6(3):213–220. doi: 10.1136/gut.6.3.213. [DOI] [PMC free article] [PubMed] [Google Scholar]
- McKAY D. G., HARDAWAY R. M., 3rd, WAHLE G. H., Jr, HALL R. M. Experimental pseudomembranous enterocolitis; production by means of thrombosis of intestinal mucosal capillaries. AMA Arch Intern Med. 1955 Jun;95(6):779–787. doi: 10.1001/archinte.1955.00250120015002. [DOI] [PubMed] [Google Scholar]
- Morson B. C. The early histological lesion of Crohn's disease. Proc R Soc Med. 1972 Jan;65(1):71–72. doi: 10.1177/003591577206500129. ["VSports手机版" DOI] [PMC free article] [PubMed] [Google Scholar]
- Price A. B., Davies D. R. Pseudomembranous colitis. J Clin Pathol. 1977 Jan;30(1):1–12. doi: 10.1136/jcp.30.1.1. ["VSports在线直播" DOI] [PMC free article] [PubMed] [Google Scholar]
- Rickert R. R., Carter H. W. The "early" ulcerative lesion of Crohn's disease: correlative light- and scanning electron-microscopic studies. J Clin Gastroenterol. 1980 Mar;2(1):11–19. [PubMed] [Google Scholar]
- Rutgeerts P., Geboes K., Vantrappen G., Kerremans R., Coenegrachts J. L., Coremans G. Natural history of recurrent Crohn's disease at the ileocolonic anastomosis after curative surgery. Gut. 1984 Jun;25(6):665–672. doi: 10.1136/gut.25.6.665. [V体育平台登录 - DOI] [PMC free article] [PubMed] [Google Scholar]
- Seldenrijk C. A., Drexhage H. A., Meuwissen S. G., Pals S. T., Meijer C. J. Dendritic cells and scavenger macrophages in chronic inflammatory bowel disease. Gut. 1989 Apr;30(4):484–491. doi: 10.1136/gut.30.4.486. [VSports最新版本 - DOI] [PMC free article] [PubMed] [Google Scholar]
- Wakefield A. J., Sankey E. A., Dhillon A. P., Sawyerr A. M., More L., Sim R., Pittilo R. M., Rowles P. M., Hudson M., Lewis A. A. Granulomatous vasculitis in Crohn's disease. Gastroenterology. 1991 May;100(5 Pt 1):1279–1287. [PubMed] [Google Scholar]
- Wakefield A. J., Sawyerr A. M., Dhillon A. P., Pittilo R. M., Rowles P. M., Lewis A. A., Pounder R. E. Pathogenesis of Crohn's disease: multifocal gastrointestinal infarction. Lancet. 1989 Nov 4;2(8671):1057–1062. doi: 10.1016/s0140-6736(89)91078-7. [DOI] [PubMed] [Google Scholar]
- Whitehead R. Ischaemic enterocolitis: an expression of the intravascular coagulation syndrome. Gut. 1971 Nov;12(11):912–917. doi: 10.1136/gut.12.11.912. [DOI] [PMC free article] [PubMed] [Google Scholar]
- Whitington P. F., Friedman A. L., Chesney R. W. Gastrointestinal disease in the hemolytic-uremic syndrome. Gastroenterology. 1979 Apr;76(4):728–733. [PubMed] [Google Scholar]
- Williamson L. M., Johnstone J. M., Preston F. E. Microvascular thrombosis of the bowel in paroxysmal nocturnal haemoglobinuria. J Clin Pathol. 1987 Aug;40(8):930–931. doi: 10.1136/jcp.40.8.930-c. [DOI] [PMC free article] [PubMed] [Google Scholar]
- Yates R. S., Osterholm R. K. Hemolytic-uremic syndrome colitis. J Clin Gastroenterol. 1980 Dec;2(4):359–363. doi: 10.1097/00004836-198012000-00008. [VSports app下载 - DOI] [PubMed] [Google Scholar]